Пациент — мужчина, 24 года

Жалобы: шаткость при ходьбе, частые подвывихи стоп, слабость ног, дизартрия.

Семейный анамнез не отягощен.

Анамнез: с детства пограничные когнитивные нарушения, учился плохо. С подросткового возраста эпизоды хронической диареи (гастроэнтерологической причины выявлено не было). В 19 лет двусторонняя экстракция катаракты. Год назад хирург при плановом осмотре обратил внимание на веретенообразные утолщения обоих ахилловых сухожилий. Указанные жалобы нарастают последние 2-3 года, родственники дополнительно отмечают «замедленность реакций», снижение внимания и памяти.

Лабораторные/ инструментальные исследования:
Б/х крови: общий холестерин 5,2 ммоль/л, ЛПНП 3,1 ммоль/л, ТТГ 1,8 мЕд/л, ЛПВП, триглицериды, глюкоза и трансаминазы в норме.
УЗИ ахилловых сухожилий: диффузное гипоэхогенное утолщение без признаков разрыва.
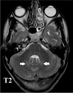
МРТ головного мозга: симметричный Т2-/FLAIR- гиперинтенсивный сигнал от зубчатых ядер мозжечка, задних ножек внутренней капсулы См РИС
ЭНМГ: признаки моторно-сенсорной полинейропатии

Объективно: без признаков дисморфогенеза. Над ахилловыми сухожилиями плотные, безболезненные утолщения до 2-3 см в диаметре. См РИС В пробе Ромберга с раскачивается, скандированная речь, пирамидные знаки в нижних конечностях, легкая слабость и атрофии мышц голеней и стоп.

____________________________________________________________________________________
* Случай смоделирован. Любое совпадение с реальной клинической практикой — случайность
Начать
Выберите наиболее вероятный диагноз, необходимые исследования/ верные утверждения:
Диагноз неверный
Диагноз неверный
Диагноз неверный
Диагноз верный
Диагноз неверный
Диагноз неверный
Далее
Проверить
Показать результат

Правильный ответ

Церебросухожильный ксантоматоз (ЦСК)

ЦСК — аутосомно-рецессивное заболевание, обусловленное патогенными вариантами гена CYP27A1, кодирующего фермент стероид-27-гидроксилазу, что ведет к ее дефициту, и, как следствие, нарушению обмена холестерина и желчных кислот, усиленному образованию и накоплению холестанола в органах и тканях (преимущественно сухожилиях, хрусталике, ЦНС и ЖКТ).

Клинические проявления и возраст дебюта могут значительно варьировать.

👆 Клиническая картина:
  • диарея (хроническая, упорная, часто с детским началом);
  • катаракта;
  • ксантомы сухожилий (чаще ахилловых);
  • ранний атеросклероз и связанные с ним осложнения;
  • костная патология (остеопения/ остеопороз);
  • неврологические нарушения (мозжечковая атаксия, периферическая нейропатия, спастический парапарез, паркинсонизм, когнитивные/ психические расстройства)

 🧠 Нейровизуализация:
  • двустороннее поражение зубчатых ядер мозжечка (симметричная гиперинтенсивность в режимах Т2 и FLAIR);
  • перивентрикулярная лейкопатия и поражение белого вещества мозжечка;
  • диффузная атрофия мозга

🔬 Диагностика:
  • уровень холестанола в сыворотке крови (↑)
  • холестерин в плазме норма/ снижен
  • исследование гена CYP27A1

🔍 Дифференциальная диагностика:
  • синдром Маринеску-Шегрена;
  • ситостеролемия;
  • семейная гиперхолестеринемия;
  • спастические параплегии;
  • наследственные атаксии и др.

Синдром Маринеску-Шегрена характеризуется триадой симптомов: мозжечковая атаксия, врожденная катаракта, задержка развития, не характерна хроническая диарея, биохимические изменения.

Липидный профиль при ЦСК часто не демонстрирует выраженной гиперЛПНП, что помогает отличить ЦСК от семейной гиперхолестеринемии.

Ситостеролемия — ↑ растительных стеролов

Болезнь Рефсума — ↑ фитановой кислоты, пигментный ретинит, аносмия/ ихтиоз

Х-АЛД — ↑ ОДЦЖК, спастический парапарез, надпочечниковая недостаточность

💊 Лечение и наблюдение:
  • заместительная терапия хенодезоксихолевой кислотой
  • статины/ эзетимиб возможны по показаниям в качестве комплексной терапии
  • симптоматическая терапия
  • скрининг осложнений: остеопороз, дефицит жирорастворимых витаминов, офтальмологический осмотр
Лечение у пациентов на досимптомной стадии предотвращает/ значимо уменьшает клинические проявления, а раннее начало терапии замедляет прогрессирование заболевания. Без лечения качество и продолжительность жизни снижены.

❗️Кому обратить внимание: генетики, неврологи, психиатры, офтальмологи, травматологи-ортопеды/ хирурги, эндокринологи, гастроэнтерологи.

Ещё раз
МРТ головного мозга
Над ахилловыми сухожилиями плотные, безболезненные утолщения до 2-3 см в диаметре