Пробанд — мальчик, 7 лет

Жалобы на утрату способности самостоятельно передвигаться
Анамнез: раннее моторное и психо-речевое развитие по возрасту.
В 4 года обратили внимание на сложности при подъеме с корточек и из положения сидя на полу. К 5 годам прогрессируют нарушения походки, «подволакивает» ноги, трудно долго ходить. В 7 лет утрачена способность самостоятельно передвигаться за счет выраженной слабости мышц бедер.

Результаты исследований:
КФК 470 Ед/л
лактат крови: 2,1-3,3 ммоль/л (до и после углеводной нагрузки)
ЭМГ: первично-мышечные изменения
МРТ ГМ: без патологии
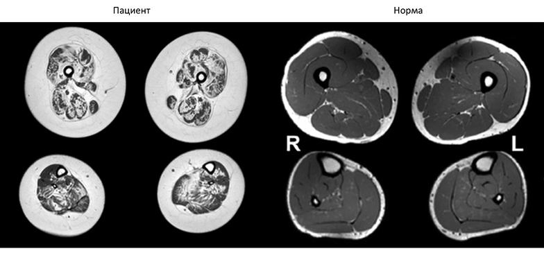
МРТ мышц: на аксиальных срезах в режиме Т1 выраженная диффузная атрофия мышц бедер (посмотреть рисунок)
Осмотр: в неврологическом статусе диффузная мышечная гипотония, арефлексия, выраженная слабость проксимальных мышц ног (до 1-2 б по MRC), самостоятельно не ходит, садится из положения лежа при помощи рук и с поддержкой.

­____________________________________________________________________________________
* Случай смоделирован. Любое совпадение с реальной клинической практикой – случайность
Начать
О каких заболеваниях, имеющих специфичное лечение, можно подумать?
Диагноз неверный
Диагноз неверный
Диагноз верный
Диагноз неверный
Диагноз неверный
Далее
Проверить
Показать результат

Правильный диагноз

Синдром истощения митохондриальной ДНК (тип 2, ТК2-миопатия)

Широкий круг дифференциальной диагностики. Вполне может быть оправдано проведение «классических» скрининговых исследований как на СМА5q, так и на болезнь Помпе (учитывая наличие проксимальной мышечной слабости), при этом для дистрофии Дюшенна характерен все-таки более высокий уровень КФК

В данном случае мы хотели акцентировать внимание на еще одном заболевании, для которого недавно стали появляться сообщения о положительном эффекте патогенетической терапии.

Речь пойдет о ТК2-миопатии (синдром истощения митохондриальной ДНК 2 типа):
- это аутосомно-рецессивное заболевание, ассоциированное с патогенными вариантами гена ТК2 и обусловленное истощением мтДНК в скелетных мышцах.

Три формы:
1) Инфантильная
- быстрое прогрессирование
- диффузная гипотония и слабость
- дыхательная недостаточность
- регресс моторных навыков
- лактат-ацидоз

2) Ювенильная
- дебют 2-18 лет
- проксимальная слабость
- регресс моторных навыков
- дыхательная недостаточность
- лицевая диплегия/ птоз

3) Взрослая  
- дебют ~30 лет
- более легкая и медленно прогрессирующая проксимальная слабость
- возможно присоединение слабости лицевых мышц, офтальмопареза, дыхательной недостаточности.
 
Высоко специфических симптомов нет. Особенность, которая может позволить предположить диагноз: быстрое прогрессирование заболевания, особенно, при наличии лактат-ацидоза.

Диагностика: методы NGS

Лечение.
Последнее время появились сообщения о положительной динамике пациентов на фоне лечения комбинацией пиримидиновых нуклеозидов: тимидина и дезоксицитидина, которые выступают в качестве субстрата для образования новых копий мтДНК. В России клинические исследования проводились на базе ФГБУ «НМИЦ им. В. А. Алмазова».

Важно понимать, что в настоящее время для все большего количества заболеваний появляется патогенетическая терапия. Подобные примеры могут быть хорошим аргументом в пользу доведения ДНК-диагностики до конца.

Ещё раз
МРТ мышц